Newsroom

Find latest news & happenings at our clinic
Dr. Girish Motwani Participates in WIROC 2022 Annual Conference
Dr. Girish Motwani Participates in WIROC 2022 Annual Conference
Dr. Girish Motwani, a renowned foot and ankle surgeon from Nagpur, recently participated in the WIROC 2022 - Bombay Orthopedic Society Annual Conferen...
hallux valgus correction by Dr Girish|Suyog Hospital|Suyog Nagar,Nagpur
Minimal invasive Painful hallux valgus correction by Dr Girish Motwan
Minimal invasive Painful hallux valgus correction by Dr Girish Motwani in. 32 year old female with successful outcomes. Hallux valgus is a common foot...
Central India\\\\\\\' 1st Single Stitch Flatfoot Surgery performed by Dr. Girish Motwani|Suyog Hospital|Suyog Nagar,Nagpur
Central India's 1st Single Stitch Flatfoot Surgery performed by Dr. Girish Motwani
Central India's first flatfoot surgery with unique sinus tarsi stent technique was conducted on a 13 year old girl at Suyog Hospital Nagpur. Flatfoot ...
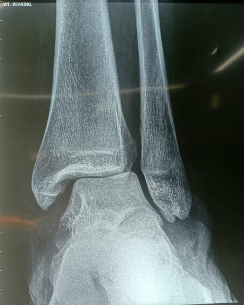
Foot ball injury causing complex syndesmosis ligament injury treated by unique technology | Dr. Girish Motwani|Suyog Hospital|Suyog Nagar,Nagpur
Foot ball injury causing complex syndesmosis ligament injury treated by unique technology | Dr. Girish Motwani
A 25 year old patient had a Football injury and the injury had the made patient unable to put weight also the patient had Tenderness on the deltoid &a...
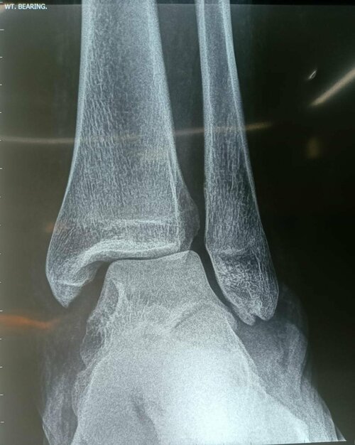
Foot Ball Injury Treated by Complex Ankle Ligament - Syndesmosis | Dr. Girish Motwani|Suyog Hospital|Suyog Nagar,Nagpur
Foot Ball Injury Treated by Complex Ankle Ligament - Syndesmosis | Dr. Girish Motwani
A 25 year old patient had Football Injury and the injury had the patient unable to put weight also the ppatienthad Tenderness on dthe eltoid & ATF...
Suyog Hospital|Suyog Nagar,Nagpur
Forbes India magazine publishes article of Dr. Girish Motwani
Forbes India magazine publishes article of Dr. Girish Motwani - Consultant Foot and Ankle Orthopedic Surgeon in Nagpur on 'Exercise and eat healthy: S...
Dr. Girish Motwani | Central India Record Holder for 35 Flat Foot Surgeries|Suyog Hospital|Suyog Nagar,Nagpur
Dr. Girish Motwani holds Central India Record for 35 Successful Flat Foot Surgeries
It is a matter of immense pride in congratulating Dr. Girish Motwani, amongst the Best foot and Ankle Surgeon for his unprecedented Central India Reco...
?
Ask Question
AboutMyClinic
SmartSite created on AboutMyClinic.com
Site-Help | Disclaimer