Welcome to Suyog Hospital

Health Information Repository

Find reliable health information, FAQs & resources on topics of your interest

Severe foot deformity- Cavovarus foot- Dr Girsh Motwani
Severe foot deformity- Cavovarus foot- Dr Girish Motwani
  This is the case of 24 years / male who has undergone simple tibia interlock nailing following diaphyseal fracture in 2017   Unfortuna...
Dr Girish Motwani - Foot and Ankle surgeon
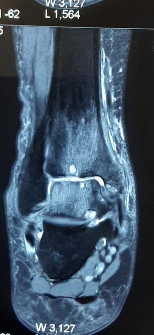
Post CPN Nerve Palsy Treatment in Nagpur | Dr. Girish Motwani
Post CPN Nerve Palsy Treatment in Nagpur | Dr. Girish Motwani
55 years old healthy male patient visited Dr. Girish Motwani - Foot and Ankle Orthopedic Surgeon in Nagpur . The patient had, history of left ...
Dr. Girish Motwani
Flat foot treatment - Dr. Girish Motwani
A person with flat feet has no visible arch in the foot when they stand. All babies have flat feet. Arches form during early childhood. If arches d...
Dr. Girish Motwani
Don\\\'t underestimate simple ankle sprain?
Do not underestimate simple ankle sprain?
Approx 20 to 40 percent patient after simple ankle sprain develop chronic ankle instability.  This is how we treat this surgically?? This is an e...
Dr. Girish Motwani
Flat foot deformity correction by Dr. Girish Motwani
How do I correct Adolescent flat foot?
A 16-year-old adolescent with severe flat foot deformity ( flexible) with no sign of coalition found. The pain was over medial talar region and rec...
Dr. Girish Motwani
Management of difficult neglected foot and ankle injuries
Management of difficult neglected foot and ankle injuries
Presenting an interesting case here:He is 60-year-old active men who met with Road traffic accident 6 months back. He had gross painful swelling in...
Dr. Girish Motwani
How do I manage peroneal tendon subluxation? Dr. Girish Motwani
How do I manage peroneal tendon subluxation?
Dr. Girish Motwani, best Foot and ankle orthopaedic surgeon in Nagpur treated a 37 years old guy having a history of multiple ankle sprain. No comp...
Dr. Girish Motwani
Flat foot deformity correction by Dr. Girish Motwani
Management of difficult tarsal coalition of foot
Sharing a case of adolescent guy 17-year-old with neglected rigid flat deformity. On workup, Dr. Motwani, foot and ankle specialist found Talocalca...
Dr. Girish Motwani
Bunions case solved by Dr. Girish Motwani
GOODBYE TO BUNION
A bunion is a bony bump that forms at the base of your big toe, where it forms a union with a foot bone called the first metatarsal. Your big toe p...
Dr. Girish Motwani
Complex Atypical Rotational Ankle Fracture Surgery
Dr Girish Motwani, one of the best foot surgeon in Nagpur, treated successfully a 30 year old guy with a history of a road traffic accident. He had...
Dr Girish Motwani
Loading...
?
Ask Question
AboutMyClinic
SmartSite created on AboutMyClinic.com
Site-Help | Disclaimer
Disclaimer: The information provided here should not be used during any medical emergency or for the diagnosis or treatment of any medical condition. The information is provided solely for educational purpose and should not be considered a substitute for medical advice.